NIH , EL ANÁLISIS AUTOMATIZADO DE TOMOGRAFÍA COMPUTARIZADA
EL ANÁLISIS AUTOMATIZADO DE TOMOGRAFÍA COMPUTARIZADA PODRÍA ACELERAR LAS EVALUACIONES CLÍNICAS
INSTITUTOS NACIONALES DE SALUD NOTICIAS DEL NIH
Departamento de Salud y Servicios Humanos de EE. UU. – miércoles, 4 de marzo de 2026
Investigaciones financiadas por los NIH sugieren que una herramienta impulsada por IA podría agilizar los diagnósticos y revelar marcadores tempranos de enfermedades crónicas

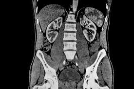
El equipo entrenó su modelo con un conjunto único de tomografías computarizadas para pacientes vinculadas a informes radiológicos y códigos de diagnóstico médico recogidos de la Facultad de Medicina de la Universidad de Stanford. Los investigadores señalan que es la mayor recopilación de datos de TAC abdominal hasta la fecha.

La TC es una forma común de imagen médica, que a menudo se realiza en la fase inicial de las evaluaciones médicas. Para obtener un diagnóstico, un radiólogo debe interpretar los resultados y, a menudo, también se necesitan pruebas adicionales y evaluaciones clínicas. Al principio, este proceso es largo y se vuelve aún más engorroso si se tiene en cuenta la creciente escasez <https://pubmed.ncbi.nlm.nih.gov/32029001/> de médicos en Estados Unidos.
«Con Merlín, podrías ir más allá de la radiología tradicional y saltar directamente de la imagen a un posible diagnóstico. Y eso es solo un posible uso», dijo el coautor principal Louis Blankemeier, Ph.D., quien realizó este trabajo mientras era estudiante de posgrado en la Universidad de Stanford.
Merlin representa una nueva clase de modelos, comúnmente conocidos como modelos de fundación, que se entrenan utilizando conjuntos de datos a gran escala y sin etiquetar, que abarcan muchos tipos de información.

Para preparar a Merlin para la amplia variedad de tareas, los investigadores inicialmente lo dirigieron a su archivo de datos clínicos, que conectaba más de 15.000 tomografías abdominales 3D junto con sus informes radiológicos y casi un millón de códigos diagnósticos. Utilizando esta información como material de estudio, Merlín aprendió sobre las relaciones entre los datos visuales y los escritos.
Los investigadores luego interrogaron a Merlin sobre más de 50.000 tomografías abdominales inéditas — procedentes de uno de cuatro hospitales diferentes — para conocer hasta qué punto su modelo podría coincidir con las conclusiones producidas por humanos asociadas a cada exploración.
«Merlin abordó algunas tareas, como predecir códigos de diagnóstico, de frente, mientras que otras tareas más complejas, como redactar informes de radiología desde cero o identificar y delinear órganos en un espacio 3D, requerían formación adicional», dijo el coautor Ashwin Kumar, estudiante de posgrado en la Universidad de Stanford.
El equipo también desplegó modelos de última generación, especializados en cada tipo de tarea, para servir como puntos de comparación.
De media, en 692 códigos diagnósticos diferentes, Merlin predijo con éxito cuál de dos escaneos tenía más probabilidades de estar asociado a un código particular durante el 81% de las veces, superando a varias variantes de otros dos modelos. Para un subconjunto de 102 códigos, el rendimiento de Merlin subió al 90%.

Los autores del estudio encontraron que, al comparar escáneres de diferentes sujetos, Merlin pudo identificar pacientes con mayor riesgo de desarrollar una enfermedad concreta en los próximos cinco años el 75% de las veces, frente al 68% del otro modelo. Estos hallazgos sugieren que el modelo puede detectar características clave en los escaneos que podrían perderse para el ojo humano, lo que sugiere que la herramienta podría ayudar a identificar nuevos biomarcadores para enfermedades, explicó Blankemeier.
Los investigadores aumentaron aún más la dificultad desafiando a Merlin a interpretar las tomografías computarizadas del tórax, una parte del cuerpo completamente ausente del material de estudio de la TC. La capacidad única de Merlin para identificar características generalizables de la enfermedad le permitió rendir tan bien o mejor que los modelos entrenados exclusivamente con escáneres de tórax.
A pesar de ser un todoterreno, Merlín superaba o igualaba los modelos especializados en todas las tareas. Los autores atribuyen el toque mágico de Merlin a su arquitectura y datos de entrenamiento, que le permitieron procesar escaneos 3D complejos y construir asociaciones entre información visual y escrita.
Los investigadores tienen grandes esperanzas de que su enfoque pueda aprovechar pronto precedentes anteriores para obtener aprobación regulatoria para tareas más sencillas, pero también planean perfeccionar Merlin para afrontar mejor desafíos más complejos, como la redacción de informes.
Aunque la herramienta es potente desde su inicio, anima a los usuarios a afinar el modelo con sus propios datos para cubrir sus necesidades específicas.
____________________________________________________________________________________
Imagínese esto: uso de IA para analizar fotografías de la placenta
Una herramienta temprana podría predecir complicaciones potencialmente mortales
Fotografías placentarias representativas utilizadas para entrenar el modelo. Las áreas más claras de las imágenes indican un mayor peso pronóstico, según lo determinado por la herramienta. FIR: respuesta inflamatoria fetal; MIR: respuesta inflamatoria materna. Crédito: Yimu Pan; consulte la información de licencia a continuación.
__________________________________________________________________
«Nuestro modelo y los datos proporcionarán a la comunidad una columna vertebral sólida sobre la que construir», dijo el autor senior Akshay Chaudhari, Ph.D., profesor de radiología y ciencia de datos biomédicos en la Universidad de Stanford. «Desde aquí, el cielo es el límite.»
Esta investigación fue apoyada por NIBIB a través de subvenciones R01EB002524 y P41EB027060, por el Centro de Recursos de Imagen Médica y Datos (MIDRC) bajo el contrato 75N92020C00021, por el Instituto Nacional de Salud, Pulmón y Sangre (NHLBI) a través de subvenciones R01HL167974 y R01HL169345, y por el Instituto Nacional de Artritis y Enfermedades Musculoesqueléticas y de la Piel (NIAMS) mediante subvenciones R01AR077604 y R01AR079431.
Acerca del Instituto Nacional de Imagen Biomédica y Bioingeniería (NIBIB): La misión de NIBIB es mejorar la salud liderando el desarrollo y acelerando la aplicación de tecnologías biomédicas. El Instituto está comprometido con integrar las ciencias físicas y de la ingeniería con las ciencias de la vida para avanzar en la investigación básica y la atención médica. NIBIB apoya la investigación y desarrollo en tecnologías emergentes dentro de sus laboratorios internos y mediante subvenciones, colaboraciones y formación. Más información está disponible en la página web de NIBIB: https://www.nibib.nih.gov.
Sobre los Institutos Nacionales de Salud (NIH): NIH, la agencia nacional de investigación médica, incluye 27 institutos y centros y forma parte del Departamento de Salud y Servicios Humanos de EE. UU. El NIH es la principal agencia federal que realiza y apoya la investigación médica básica, clínica y traslacional, y está investigando las causas, tratamientos y curas tanto para enfermedades comunes como raras. Para más información sobre los NIH y sus programas, visite www.nih.gov.
NIH… Convertir el descubrimiento en salud — Registrada, Oficina de Patentes y Marcas de EE. UU.
REFERENCIAS: Louis Blankemeier, Ashwin Kumar, et al. Merlin: Un modelo y conjunto de datos de la Visión de la Lengua con Tomografía Computarizada. La naturaleza. DOI 2026: 10.1038/s41586-026-10181-8.
Este comunicado de prensa del NIH está disponible en línea en:
Para suscribirse (o cancelar la suscripción) a los envíos de notas de prensa del NIH, vaya a
<https://list.nih.gov/cgi-bin/wa.exe? SUBED1=NIHPRESS&A=1>.



